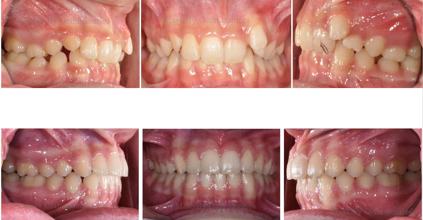
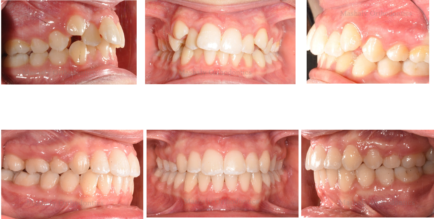
Braces

Dental braces are considered significant achievements in both medical and cosmetic fields, as they have shown clear improvements in oral health and smile aesthetics. It is not merely a cosmetic procedure but a technique aimed at correcting teeth alignment and improving oral functions. In the following lines, we will learn about the concept of dental braces, the importance of orthodontic treatment, and why you should choose A.CLINICS for orthodontic services. Keep reading to find out more.

 

What is Orthodontics?


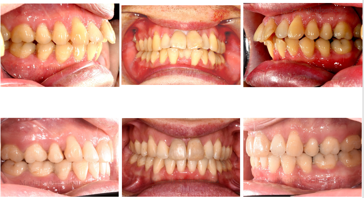
Orthodontics is a dental specialty that helps treat misalignment of teeth, malocclusion
(improper bite), and other related issues. Orthodontic treatment goes beyond addressing cosmetic concerns and is also used to treat various medical conditions such as impacted teeth and other dental problems.

 

Types of Braces:

1.Traditional Metal Braces :


Traditional metal braces are the most common type of braces and are smaller and more comfortable today than ever before. Made of high-grade stainless steel, metal braces straighten your teeth using metal brackets and archwires. With metal braces, you have the option of adding colored elastics (rubber bands) for a more unique and colorful smile.

2-Ceramic Braces

Ceramic braces are made of clear materials that are less visible on your teeth than metal braces. For this reason, ceramic braces are used mainly on older teenagers and adult patients who have aesthetic concerns. While they are visually less prominent, they do require more attention to oral hygiene as ceramic braces are larger than metal braces. The only drawback to ceramic brackets is that they are more fragile, and the elastic ties can discolor between orthodontic visits with certain foods and smoking.

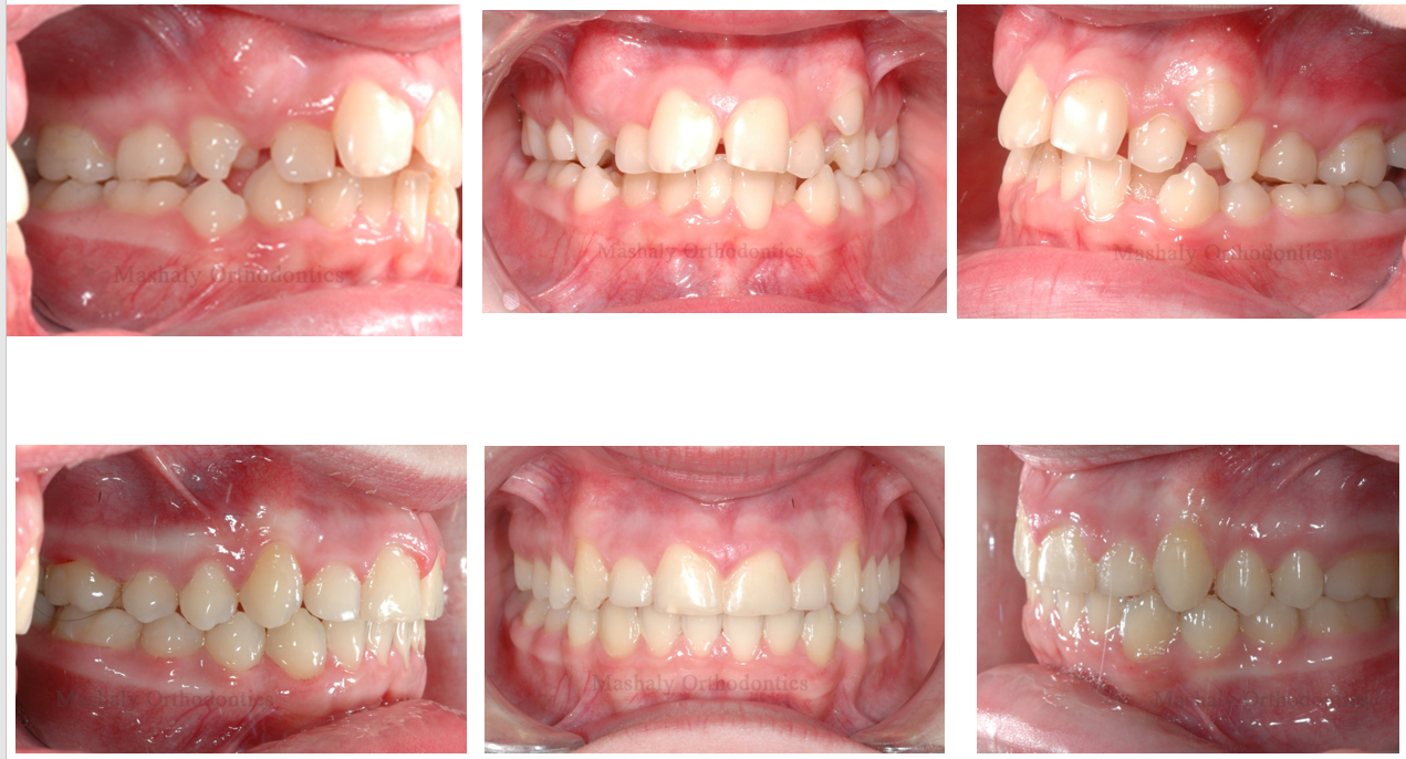
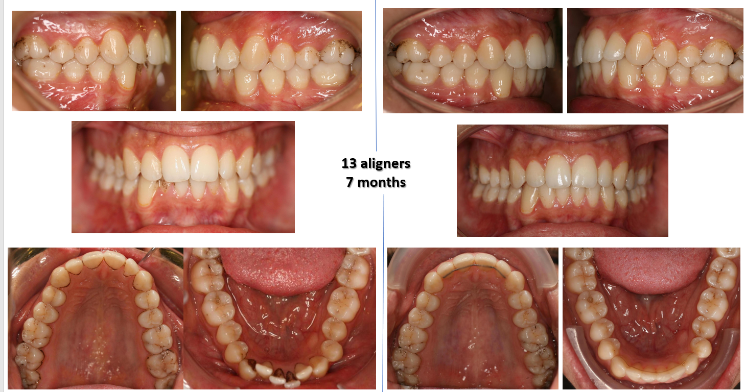
3.Clear Aligners

Clear aligners use a series of clear, removable, and comfortable aligners to straighten your teeth.  Not only are the aligners less noticeable, they are removable, so you can eat and drink what you want while in treatment, plus brushing and flossing are less of a hassle. The aligners are comfortable and have no metal to cause mouth abrasions during treatment.

Why Choose A.CLINICS for Dental Braces?


A.CLINICS is one of the best dental and cosmetic centers in Egypt, offering several advantages that make it the preferred choice. Some of these advantages include:

  • Extensive experience in all dental specialties
  •  Highly trained and skilled dental team
  •  Utilization of the latest techniques and tools in dental and cosmetic procedures
  •  Availability of various types of dental braces
  •  Highest level of service provided
  •  Regular follow-up with clients

 

To book an appointment at A.CLINICS, you can contact us through the provided phone number or the messaging service on our website. Our specialized medical team will respond to you promptly.

Contact Us

01030101585